Rozszerzone pole widzenia wyświetla więcej informacji obrazowych bez utraty jakości obrazu. Jest wygodnym podejściem do dużych organów, zwłaszcza struktur układu mięśniowo-szkieletowego. Posiada wskazania dotyczące kierunku i prędkości skanowania.
Rozszerzone pole widzenia wyświetla więcej informacji obrazowych bez utraty jakości obrazu. Jest wygodnym podejściem do dużych organów, zwłaszcza struktur układu mięśniowo-szkieletowego. Posiada wskazania dotyczące kierunku i prędkości skanowania.
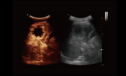
Technologia obrazowania ultrasonograficznego z inwersją impulsów i kontrastowaniem pozwala dokładnie wyodrębnić drugi harmoniczny kontrastowych mikropęcherzyków, co umożliwia uzyskanie obrazowania z wysokim stosunkiem kontrastu do tkanki oraz zapewnia bardziej szczegółową diagnozę kliniczną.
Elastografia w czasie rzeczywistym to nowa nieinwazyjna i bezbolesna technika, która pomaga określić twardość organów oraz innych struktur takich jak piersi czy tarczyca. Obrazowanie elastyczne dostarcza użytkownikom dynamicznych informacji wizualnych i pokazuje sztywność organów, co jest pomocne w bezpośredniej i ilościowej diagnozie oraz leczeniu.
Umożliwia ustawienie kursora M-trybu pod dowolnym kątem na cyfrowych obrazach dwuwymiarowych. Trzy linie próbkowania pozwalają lekarzowi mierzyć jednocześnie trzy pozycje, a każda linia próbkowania może być obrócona o 360°.
Technologia krzywoliniowego M-Mode (CAM) umożliwia wyświetlanie wszystkich przestrzennych i czasowych relacji ruchów segmentów mięśnia sercowego podczas cyklu sercowego w sektorze skanowania. Zapewnia to nową metodę pomiaru do ilościowej analizy zaburzeń ruchów segmentów mięśnia sercowego podczas fazy skurczowej lub rozkurczowej.
Obrazowanie tkankowe metodą Dopplera (TDI) to solidne i powtarzalne narzędzie echokardiograficzne, które wykorzystuje efekt Dopplera do oceny charakterystyk ściany mięśniowej w całym cyklu sercowym, obejmując prędkość, przemieszczenie, deformację oraz timing zdarzeń. Pozwala na ilościową ocenę zarówno globalnej, jak i regionalnej funkcji oraz timing zdarzeń miokardialnych.
Trzy linie kierujące zapewniające dokładność i bezpieczeństwo. Odległość między dwiema zewnętrznymi liniami może być dostosowana do obszarów zmian, a dostępne są informacje o głębokości igły.
Obraz igły punkcyjnej jest wzmocniony przez odchylenie wiązki akustycznej, obejmujące wzmocnienie igły, renderowanie czerwonego końca igły, wirtualny przebieg igły oraz linię skali, wspierające automatyczne sterowanie.
Stosowane do pomiaru wysokoprzepływowego przepływu krwi wewnątrz serca, wykazuje oczywiste zalety w ilościowej analizie zwężenia i niedomykalności.
Automatyczna identyfikacja i pomiar grubości błony wewnętrznej i środkowej. Możliwość pomiaru zarówno lewego, jak i prawego naczynia krwionośnego, ściany przedniej i tylnej.
Szybkie ponowne lokalizowanie obszaru zainteresowania (ROI) na naczyniu krwionośnym za pomocą jednego przycisku. Zmniejsza obciążenie lekarza związanego z częstym dostosowywaniem pozycji i kąta ROI w zależności od różnych lokalizacji naczynia, poprawiając efektywność pracy.
Obsługa wysyłania informacji za pośrednictwem e-maila na komputer, telefon komórkowy, tablet itp., bez konieczności instalowania aplikacji na osobistych urządzeniach.
Oferowanie informacji tutorialowych dotyczących jamy brzusznej, naczyń krwionośnych, małych części, GYN (ginekologia i położnictwo), MSK (układ mięśniowo-szkieletowy) itp., zawierających standardowe obrazy ultrasonograficzne, diagramy anatomiczne, techniki skanowania oraz wskazówki.
Funkcja skrótów klawiszowych wyświetla się w lewym dolnym rogu, co pomaga lekarzom szybko zlokalizować wymagane funkcje.
Zastosowania: Brzuch, Położnictwo, Ginekologia
Zastosowania: Brzuch, Położnictwo, Ginekologia
Zastosowania: Pediatria,
Kardiologia
Zastosowania: Brzuch,
Położnictwo, Ginekologia
Zastosowania: Położnictwo,
Ginekologia, Urologia
Zastosowania: Małe części,
Naczyniowe, MSK
Zastosowania: Małe części,
Naczyniowe, MSK
Zastosowania: Małe części,
Naczyniowe, MSK, Piersi
Zastosowania: Małe części,
Naczyniowe, MSK
Zastosowania: Położnictwo,
Ginekologia, Urologia
Zastosowania: Kardiologia,
Brzuch, TCD
Zastosowania: Brzuch,
Kardiologia dziecięca
Zastosowania: Brzuch,
Kardiologia noworodków
Zastosowania: Kardiologia,
Brzuch, TCD
Copyright © Focus&Fusion 2024