Rozszerzone pole widzenia wyświetla więcej informacji obrazowych bez utraty jakości obrazu. Jest wygodnym podejściem do dużych organów, zwłaszcza struktur układu mięśniowo-szkieletowego. Posiada wskazania dotyczące kierunku i prędkości skanowania.
Rozszerzone pole widzenia wyświetla więcej informacji obrazowych bez utraty jakości obrazu. Jest wygodnym podejściem do dużych organów, zwłaszcza struktur układu mięśniowo-szkieletowego. Posiada wskazania dotyczące kierunku i prędkości skanowania.
Elastografia w czasie rzeczywistym to nowa nieinwazyjna i bezbolesna technika, która pomaga określić twardość organów oraz innych struktur takich jak piersi czy tarczyca. Obrazowanie elastyczne dostarcza użytkownikom dynamicznych informacji wizualnych i pokazuje sztywność organów, co jest pomocne w bezpośredniej i ilościowej diagnozie oraz leczeniu.
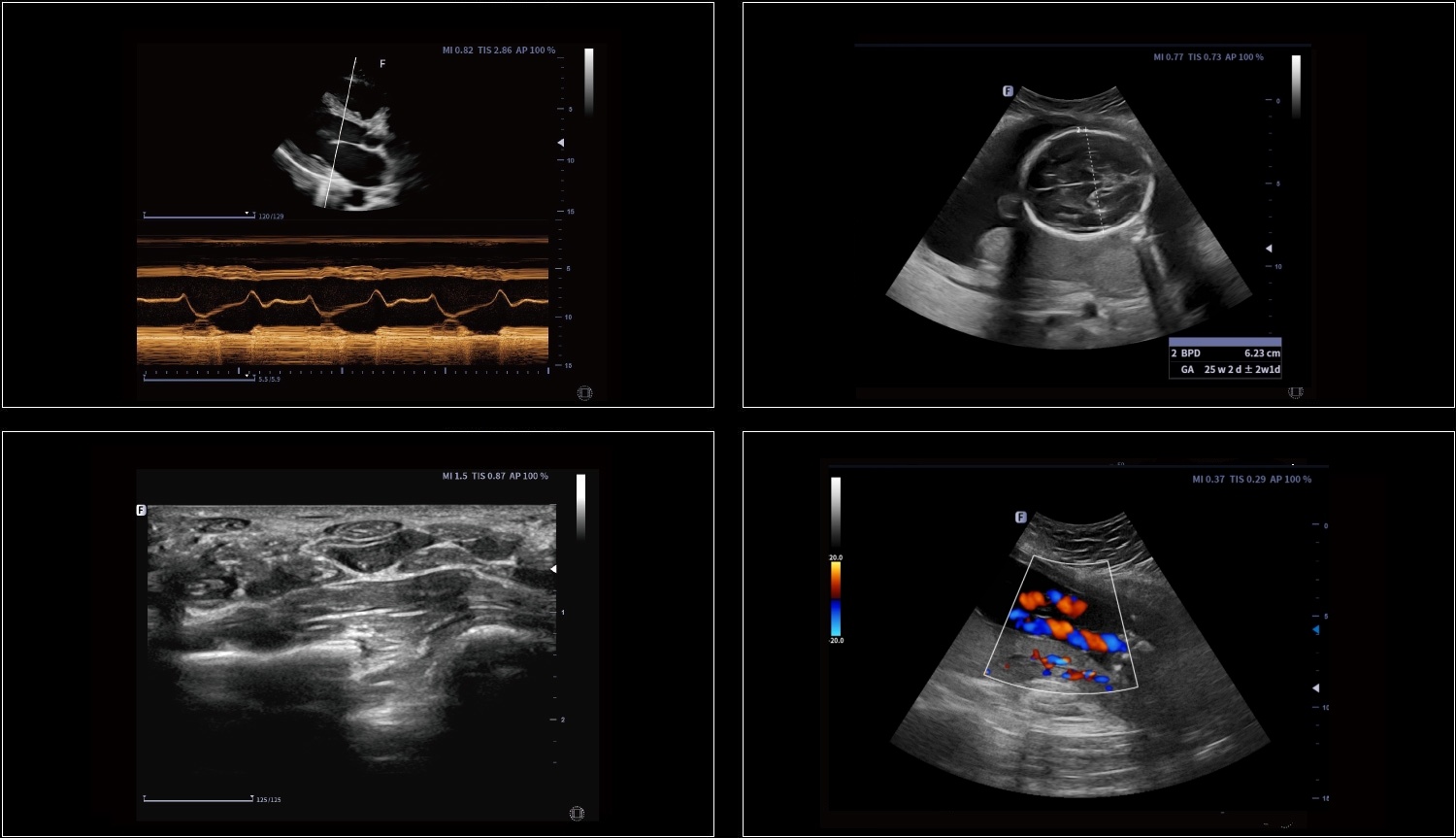
Technologia krzywoliniowego M-Mode (CAM) umożliwia wyświetlanie wszystkich przestrzennych i czasowych relacji ruchów segmentów mięśnia sercowego podczas cyklu sercowego w sektorze skanowania. Zapewnia to nową metodę pomiaru do ilościowej analizy zaburzeń ruchów segmentów mięśnia sercowego podczas fazy skurczowej lub rozkurczowej.
Obrazowanie tkankowe metodą Dopplera (TDI) to solidne i powtarzalne narzędzie echokardiograficzne, które wykorzystuje efekt Dopplera do oceny charakterystyk ściany mięśniowej w całym cyklu sercowym, obejmując prędkość, przemieszczenie, deformację oraz timing zdarzeń. Pozwala na ilościową ocenę zarówno globalnej, jak i regionalnej funkcji oraz timing zdarzeń miokardialnych.
Obraz igły punkcyjnej jest wzmocniony przez odchylenie wiązki akustycznej, obejmujące wzmocnienie igły, renderowanie czerwonego końca igły, wirtualny przebieg igły oraz linię skali, wspierające automatyczne sterowanie.
Mierzenie powierzchni naczynia krwionośnego, prędkość przepływu krwi może być automatycznie mierzona przez spektrum, a wyniki objętości przepływu krwi zostaną wyświetlone.
Automatyczna identyfikacja i pomiar grubości błony wewnętrznej i środkowej (intima-media). Możliwość pomiaru zarówno lewych, jak i prawych naczyń krwionośnych oraz ścian przednich i tylnych.
Oferowanie informacji tutorialowych dotyczących jamy brzusznej, naczyń krwionośnych, małych części ciała, ginekologii (GYN), układu mięśniowo-szkieletowego (MSK) itp., obejmujących standardowe obrazy ultrasonograficzne, diagramy anatomiczne, techniki skanowania oraz wskazówki.
Dual Live: Obrazy B oraz B+C są wyświetlane jednocześnie dla lepszej diagnozy.
Zastosowania: Brzuch,
Położnictwo, Ginekologia
Zastosowania: Pediatria,
Kardiologia
Zastosowania: Położnictwo,
Ginekologia, Urologia
Zastosowania: Małe części,
Naczyniowe, MSK
Zastosowania: Małe części,
Naczyniowe, MSK
Zastosowania: Brzuch,
Położnictwo, Ginekologia
Copyright © Focus&Fusion 2024